狂吃30多颗,姑娘痛到打滚!医生傻眼

来源: 人民日报 2025-01-25 10:52:39 我来说说 阅读

  冬日的小零食怎么能少得了山楂呢?不过,喜欢吃也要注意不能过量!浙江杭州一位姑娘狂“炫”1斤多山楂后,直接痛到无法忍受......

  1斤多山楂下肚巨大“石头”塞满整个胃医生:多喝可乐

  19岁大二学生倩倩(化名)是糖炒山楂的忠实爱好者,每年山楂一上市,她必定会买来解馋。

  这天晚上,倩倩买了1斤多糖霜小山楂来吃,结果当天晚上就感到肚子痛。起初还勉强能忍受,可到了第二天,腹痛却越来越重,疼得她直打滚,忍无可忍来到了杭州市第一人民医院门诊。

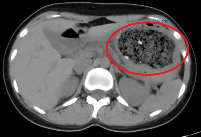
  接诊的消化内科副主任杨晶简单问了病史后,给倩倩安排了腹部CT平扫检查,结果发现一个8.6cm×5.5cm左右的巨大的异物把她的胃塞得满满当当。

  


  “你吃了多少山楂?”杨晶问。

  “一个人吃了1斤多,大概有30多颗……”倩倩怯怯地说。

  经验丰富的杨晶立刻做了明确诊断——胃石。

  在进一步胃镜检查后,杨晶发现,倩倩胃里面的结石体积庞大,几乎不留什么空隙,这使得常规的异物圈套器无法施展。

  为此,杨晶决定先用工具将结石分割成小块,但由于结石太多,如果直接一一取出,会对喉咙造成损伤,他选择让这些小块结石留在里面,并再三嘱咐倩倩,这几天多喝可乐。

  根据医嘱,倩倩喝了两天的可乐,四天后复查,检查结果显示,她胃内的结石已完全溶解消失。

  不只是柿子!很多食物都会引发结石

  “只听说柿子吃多了会得柿石,怎么山楂也会引发结石?”倩倩百思不得其解。

  杨晶解释,胃石并非仅限于“柿石”,其实只要富含“鞣酸”的食物,如香蕉、山楂等,在特定条件下同样可能形成结石,需引起警惕。

  为什么可乐能消除结石呢?杨晶解释,这是因为可口可乐含有大量二氧化碳,会产生膨胀效应,而磷酸、柠檬酸和碳酸氢钠,也会和结石中的钙等物质产生化学反应,破坏结石聚合,达到溶石的目的。

  但注意,有胃石合并溃疡症状的患者,不能盲目饮用可乐。因为可乐可能会造成溃疡的进一步加重,要在专业医生的指导下进行,并建议尽早去医院进行综合治疗。

  注意健康饮食不必“谈石色变”

  “今年门诊已经收到好几例类似的病例,每年到柿子、山楂上市的季节,更是高发。不过,不用过于恐慌,任何事情都不能‘抛开剂量讲毒性’。产生胃结石的前提是大量食用。”杨晶说。

  因为“胃石”住院虽然惊险,但大多数预后良好。“只要有正确的饮食观念,在满足我们的口福同时,不必谈石色变。”

  医生提醒

  选择成熟的柿子或山楂等食物。注意摄入量,不可贪吃。避免高蛋白食物共同食用。消化功能差的人群要减少摄入,如老人、儿童要特别注意。进食后注意口腔清洁,避免鞣酸对牙齿造成损伤。如有不适及时入院就诊,千万不可听信偏方治疗。

  来源:杭州发布、杭州市卫生健康委

  


责任编辑:杨艳丽